Cụ bà 72 tuổi đau âm ỉ nhiều ngày, bác sĩ sốc khi lấy ra thứ “đáng sợ” bên trong bụng
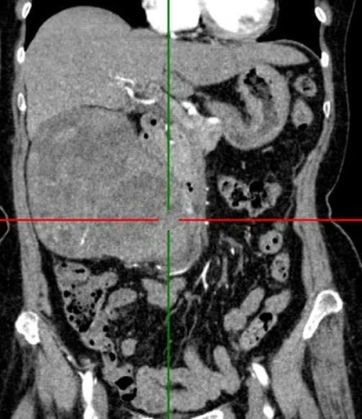
Người bệnh nữ 72 tuổi nhập viện vì đau âm ỉ vùng hông lưng phải kéo nhiều tháng nay. Khi đến viện bác sĩ phát hiện “thủ phạm” gây bệnh.
Mới đây, các bác sĩ Khoa Ngoại thận – Tiết niệu và Nam học, Bệnh viện Đa khoa tỉnh Tuyên Quang đã tiếp nhận và xử trí thành công một ca u thận phải, giúp người bệnh được phẫu thuật kịp thời và hiện sức khỏe đã ổn định.
Khai thác tiền sử bệnh cụ bà 72 tuổi nhập viện vì đau âm ỉ vùng hông lưng phải kéo nhiều tháng nay. Sau khi thăm khám và làm xét nghiệm các bác sĩ kết luận nữ bệnh nhân u thận phải.
Tại viện sau hội chẩn khoa, ê-kíp đã quyết định can thiệp phẫu thuật phù hợp, loại bỏ hoàn toàn khối u cho người bệnh. Các bác sĩ Khoa Ngoại thận – Tiết niệu và Nam học, Bệnh viện đa khoa tỉnh Tuyên Quang đã cắt bỏ khối lượng u to, trọng lượng 1,2kg cho bệnh nhân.
Ca phẫu thuật diễn ra an toàn, thuận lợi. Sau mổ, sức khỏe người bệnh ổn định, người bệnh được tư vấn kỹ về bệnh và hướng dẫn theo dõi tiếp sau phẫu thuật.
Theo các bác sĩ Khoa Ngoại thận – Tiết niệu và Nam học – Bệnh viện Đa khoa tỉnh Tuyên Quang u thận có thể không có triệu chứng rõ ràng trong thời gian dài. Người dân cần khám sức khỏe định kỳ, đặc biệt khi có các dấu hiệu: Đau hông lưng kéo dài; Tiểu máu ; Gầy sút cân không rõ nguyên nhân; Mệt mỏi kéo dài .
Video đang HOT
Những thực phẩm “vàng” siêu tốt cho gan, thận
Cá: Nguồn protein chất lượng cao nhưng ít chất béo bão hòa trong cá béo giúp dễ tiêu hóa và thân thiện với hệ lọc của thận. Cá còn cung cấp nhiều khoáng chất như canxi, phốt pho, sắt, kẽm, magie và kali – những dưỡng chất quan trọng cho sự cân bằng nước, điện giải của cơ thể.
Trà xanh: Loại đồ uống này rất tốt cho cơ thể. Trà xanh giàu catechin – nhóm chất chống oxy hóa có lợi cho gan. Nhiều tổng quan nghiên cứu cho thấy trà xanh giúp giảm men gan ở người mắc NAFLD và có thể giảm nguy cơ ung thư gan. Với thận, đồ uống này giúp giảm viêm toàn thân và hạn chế tổn thương tế bào.
Yến mạch: Loại thực phẩm này giàu chất xơ hòa tan, đặc biệt là beta-glucan, yến mạch giúp gan vận hành trơn tru hơn, giảm nguy cơ tích mỡ quanh nội tạng và hỗ trợ kiểm soát cân nặng. Yến mạch là nguồn tinh bột nguyên chất, ít kali và phốt pho, phù hợp với người cần theo dõi chế độ ăn nhưng vẫn muốn giữ bữa sáng đủ chất.
Bông cải xanh: Theo Hiệp hội Nghiên cứu Thận Vương quốc Anh, đây là nguồn chất chống oxy hóa dồi dào, giúp giảm viêm, ổn định đường huyết, tăng miễn dịch và tốt cho tim mạch. Những yếu tố này gián tiếp bảo vệ cả gan và thận.
Bắp cải: Loại rau này giàu hàm lượng kali tự nhiên rất thấp, bắp cải trở thành lựa chọn phù hợp cho người có bệnh thận. Loại thực phẩm này còn chứa vitamin K, vitamin C, folate và chất xơ. Đặc biệt, các chất này giúp trung hòa gốc tự do, ngăn ngừa tổn thương tế bào và hỗ trợ mô thận phục hồi. Đồng thời, bắp cải cũng góp phần giảm stress oxy hóa ở gan – một trong những cơ chế khiến gan bị tổn thương âm thầm theo thời gian.
Triệu chứng cảnh báo sớm của suy giảm chức năng thận
Bệnh thận mạn thường tiến triển âm thầm với các biểu hiện dễ bị bỏ qua, khiến nhiều người chỉ đi khám khi chức năng thận đã suy giảm đáng kể.
Không giống nhiều bệnh lý khác, bệnh thận mạn hiếm khi bộc lộ bằng những triệu chứng rầm rộ ngay từ đầu. Theo QQ News, những thay đổi ban đầu do bệnh thận gây ra thường mờ nhạt, dễ bị nhầm lẫn với mệt mỏi thông thường, khiến người bệnh chậm trễ trong việc đi khám và đánh mất cơ hội can thiệp sớm.
Bệnh thận thường diễn biến một cách âm thầm ở giai đoạn đầu. Ảnh: Freepik.
Những dấu hiệu cảnh báo
Bệnh thận mạn thường khởi phát rất kín đáo. Những dấu hiệu sớm nhất thường nằm ở nước tiểu, như nước tiểu có nhiều bọt kéo dài, xét nghiệm phát hiện protein niệu hoặc tăng albumin niệu. Đây là biểu hiện sớm của tổn thương hàng rào lọc cầu thận, đôi khi xuất hiện ngay cả khi mức lọc cầu thận vẫn còn trong giới hạn bình thường.
Ngoài ra, một số người có thể gặp tình trạng phù nhẹ, chẳng hạn mí mắt sưng vào buổi sáng hoặc cổ chân hơi phù vào chiều tối rồi tự hết. Cảm giác mệt mỏi kéo dài, giảm tập trung, dù ngủ đủ giấc vẫn thấy uể oải, cũng có thể liên quan đến việc chất thải chuyển hóa bắt đầu tích tụ trong cơ thể.
Khi bệnh tiến triển, các triệu chứng trở nên rõ ràng hơn như buồn nôn, nôn, hơi thở có mùi bất thường, chán ăn, sụt cân, phù kéo dài cả ngày. Điều này là do thận giảm khả năng sản xuất erythropoietin. Nhiều bệnh nhân còn xuất hiện tình trạng thiếu máu, chóng mặt, hồi hộp. Lúc này, mức lọc cầu thận thường đã giảm dưới ngưỡng an toàn.
Cảm giác mệt mỏi thường xuyên có thể là một trong những dấu hiệu của bệnh thận. Ảnh: Freepik.
Điều đáng tiếc là nhiều người chỉ đi khám khi triệu chứng đã rõ, đồng nghĩa với việc đã bỏ lỡ thời điểm can thiệp tối ưu.
Các chuyên gia lưu ý người bệnh cần được theo dõi bằng kết quả xét nghiệm, đặc biệt là creatinin máu, eGFR và tỷ lệ albumin/creatinin niệu. Trong đó, eGFR dưới 60 kéo dài là dấu hiệu rõ ràng của suy giảm chức năng thận, còn protein niệu tăng dai dẳng là tín hiệu cảnh báo sớm, kể cả khi eGFR còn bình thường.
Ngoài ra, các chỉ số như ure máu, kali máu cũng giúp phát hiện rối loạn chuyển hóa và điện giải liên quan đến thận. Huyết áp cũng là chỉ số không nên bỏ qua. Việc kiểm soát huyết áp kém vừa là nguyên nhân, vừa là yếu tố làm bệnh thận tiến triển nhanh hơn.
Làm gì để ngăn ngừa nguy cơ bệnh thận?
Từ góc độ phòng bệnh, các chuyên gia cho rằng việc phát hiện sớm có thể giúp làm chậm tiến triển bệnh, thậm chí tránh được việc phải chạy thận. Điều này bắt đầu từ những thay đổi rất cơ bản như ăn nhạt hơn, kiểm soát đường huyết và huyết áp, duy trì cân nặng hợp lý, vận động đều đặn, uống đủ nước và tránh lạm dụng thuốc giảm đau hay các loại thuốc, thảo dược không rõ nguồn gốc.
Đối với người có nguy cơ cao như người tăng huyết áp, đái tháo đường, béo phì, người trên 65 tuổi hoặc có tiền sử bệnh thận, việc kiểm tra máu và nước tiểu định kỳ là rất cần thiết, ngay cả khi chưa có triệu chứng.
Vì sao củ sen được xem là "thực phẩm vàng" cho cơ thể?
Trong ẩm thực và y học cổ truyền Việt Nam, cây sen được xem là loài thực vật "toàn thân đều quý". Từ hoa, lá, hạt đến ngó sen đều có thể sử dụng làm thực phẩm hoặc vị thuốc. Trong đó, củ sen là bộ phận được dùng phổ biến nhờ giá trị dinh dưỡng cao và nhiều tác dụng tích cực...
Đang viral màn xin lỗi độc lạ của VĐV Nhật Bản sau sự cố ném bóng trúng cô bé ngoài đường biên00:18
Cô dâu 61 tuổi lấy chồng Việt kiều, được các con tổ chức đám cưới linh đình00:30
Hòa Minzy lên tiếng đính chính một chuyện liên quan đến Hương Giang00:28
Trường Giang trổ tài gói bánh tét, HIEUTHUHAI gói nhân bánh hình trái tim34:42Tiêu điểm
Tin đang nóng
Tin mới nhất

Đau nhức răng liên tục là do đâu?

Nên thường xuyên bổ sung nước lọc khi bị ốm

Lợi ích của choline trong trứng đối với sức khỏe não bộ và bệnh Alzheimer

Đang lặn biển, người đàn ông bị tai biến lặn

Món ngon từ ngải cứu giúp bồi bổ cơ thể mùa lạnh

Đừng để việc sưởi ấm cướp đi sinh mạng của bạn

Cần ngủ bao nhiêu tiếng mỗi ngày để cơ bắp phục hồi?

Ba cách giúp kiểm soát cholesterol từ chế độ ăn và lối sống

Loại cây bám đầy hàng rào, góc vườn quét sạch cơn ho mùa đông

Thủng ruột vì thói quen rất nhiều người Việt mắc

Bé gái 18 tháng tuổi nguy kịch, bác sĩ gắp ra thứ "đáng sợ" trong bụng

Phẫu thuật lấy búi tóc khổng lồ khỏi dạ dày bé trai 6 tuổi ở Đà Nẵng
Có thể bạn quan tâm

Eurozone: Chi phí năng lượng giảm nhanh giúp lạm phát hạ nhiệt
Uncat
21:49:27 04/02/2026
Chủ tịch Trung Quốc hội đàm trực tuyến với Tổng thống Nga
Thế giới
21:44:58 04/02/2026
Sơn Tùng không thể công khai Hải Tú?
Sao việt
21:38:09 04/02/2026
Nữ ca sĩ được bầu làm Thị trưởng: Ê chề vì 1 chú bồ câu, bị chỉ trích thậm tệ
Nhạc quốc tế
21:29:48 04/02/2026
Nhạc sĩ đắt show nhất Việt Nam tình tứ cạnh gái xinh, 1 hành động làm cõi mạng phát sốt
Nhạc việt
21:20:41 04/02/2026
'Nàng tiên cá' tập gym, tập thở khắc nghiệt cho 25 phút biểu diễn
Netizen
20:55:51 04/02/2026
Nam diễn viên bị kẹt đầu trong thang máy, bị mất khứu giác vĩnh viễn
Sao châu á
20:34:29 04/02/2026
Đóng cao tốc Vĩnh Hảo - Phan Thiết sau tai nạn giữa hai xe tải
Tin nổi bật
20:30:05 04/02/2026
Đường dây buôn lậu nửa tấn vàng giấu trong giày từ Trung Quốc bị xét xử
Pháp luật
20:26:05 04/02/2026
Cuộc so găng của 4 tác phẩm Việt trên đường đua phim Tết 2026
Phim việt
20:07:49 04/02/2026
7 cách gừng tươi giúp loại bỏ cholesterol ‘xấu’ tự nhiên
Bảy loại rau, củ, quả giàu chất xơ, hạn chế đường huyết sau ăn, giảm nguy cơ biến chứng
Thiếu niên 13 tuổi hành động dại dột, bác sĩ cấp cứu liên tục 3 ngày
Thiếu máu não: Bệnh lý âm thầm nhưng khốc liệt
Chuyên gia: Trước bữa nhậu ăn món này sẽ không bị 'say nguội'
Thận bị 'vắt kiệt' vì 5 hành vi nhiều người mắc phải
4 thói quen ăn sáng đang 'hủy hoại' đường ruột
Người đàn ông 43 tuổi phát hiện ung thư thận, thừa nhận một sai lầm nhiều người Việt mắc phải
'Vua rau củ' cực sẵn ở chợ Việt, ăn vào bổ dưỡng đủ đường lại ngừa cả ung thư
5 dấu hiệu cảnh báo cơ thể bạn đang thiếu magiê
Loại rau 'lành mạnh bậc nhất' giá cực rẻ ở chợ Việt, ăn vào lại có lợi đủ đường
Đừng để bệnh mạn tính 'âm thầm' tổn hại sức khỏe
Nhiều vitamin C hơn cam, loại ớt này là thực phẩm 'vàng' bảo vệ sức khỏe
Dấu hiệu cảnh báo viêm gan B giai đoạn đầu
Đau âm ỉ vùng thắt lưng, người đàn ông 59 tuổi đi khám phát hiện mắc dị tật hiếm gặp
Làm gì để sống sót khi lên cơn đau tim mà không có ai bên cạnh?
Cách nhận biết mật ong thật - giả và những lưu ý khi sử dụng
2 cậu cháu cùng cắt thận do ung thư: Có dấu hiệu này cần khám ngay và điều trị triệt căn ung thư sớm
Trầm cảm 'ẩn' đằng sau cơn đau ngực, mệt mỏi
4 nguyên nhân khiến bạn tập luyện và ăn kiêng nhưng vẫn tăng cân
Loại ung thư đứng đầu về tỷ lệ tử vong
Người phụ nữ bất ngờ phát hiện có khối u thận khổng lồ
4 sai lầm khi tập luyện khiến nam giới khó giảm mỡ cơ thể
6 loại thực phẩm 'vàng' tốt cho giảm cân mà không cần nhịn ăn
Ăn cơm có cảm giác nuốt vướng, người đàn ông sốc khi phát hiện 3 bệnh ung thư cùng lúc
Măng tre có tác dụng gì?
Ngứa dai dẳng ở 4 vị trí này: Cảnh báo ung thư gan sớm, nhiều người Việt đang bỏ qua
Uống mỗi ngày mà không để ý: 5 loại đồ uống quen thuộc đang âm thầm bào mòn não bộ, hại trí nhớ
5 thói quen uống cà phê sai cách phổ biến nên tránh
Tưởng bị trĩ hóa ra xương gà dài 3cm mắc ở hậu môn
Khoai mỡ: Thứ củ "bình dân" nhưng không hề tầm thường về dinh dưỡng
Nam sinh đang học bỗng khó thở, rơi vào nguy kịch bởi bệnh hiếm gặp
Một CSGT ở Thái Nguyên bị tông tử vong khi đang làm nhiệm vụ
55 tuổi, nghỉ hưu 5 năm: Tôi thấm thía rằng có tiền và không có tiền, tuổi già rẽ sang hai số phận khác hẳn
3 con giáp này 15 ngày tới công danh chạm đỉnh, gia đạo ấm êm, chính thức tạm biệt chuỗi ngày lo toan cơm áo
Nguyên nhân Từ Hy Viên đột ngột qua đời lần đầu được hé lộ
Ô tô con tông thẳng đuôi xe hút bụi trên đường cao tốc ở Quảng Ninh
Rosé (BLACKPINK) vừa bị Bruno Mars cắt đứt quan hệ, tất cả tại thất bại ê chề ở Grammy 2026?
4 phim Hoa ngữ ăn khách nhất hiện tại
Hơn 1.200 gốc hoa ly tại nhà vườn ở Hà Nội bị chặt phá trước Tết
Duyên Quỳnh rơi vào vết xe đổ
Ninh Dương Lan Ngọc đăng đàn chất vấn Hòa Minzy vì để lộ ảnh táo bạo
Đám cưới trăm tỷ của cô dâu Tây Ninh: Lý do chú rể Campuchia gia thế khủng vẫn ở rể, còn "lép vế" vợ
Nga cảnh báo khả năng "thế giới sẽ nguy hiểm hơn" trong vài ngày tới
Ca sĩ Duyên Quỳnh xin lỗi, thừa nhận hát nhép bản hit 6,5 tỷ lượt xem
Mỹ nhân gen Z nói xấu cả showbiz chia tay bạn trai diễn viên hơn 10 tuổi, đang rao bán gấp căn hộ hạng sang
"Bạch nguyệt quang" của thiếu gia út nhà tỷ phú Jonathan Hạnh Nguyễn tự công khai điều giấu kín 3 năm
Bộ sưu tập tư thế làm bài tập của học sinh tiểu học: Nhìn thôi đã thấy "tức cái lồng ngực"!