Viêm cơ tim tự miễn: kẻ thù thầm lặng ở trẻ nhỏ
Trẻ có thể khỏe mạnh rồi bất ngờ suy tim , khó thở, tím tái …là dấu hiệu cảnh báo bệnh viêm cơ tim tự miễn hiếm gặp, rất nguy hiểm khi hệ miễn dịch tấn công chính tế bào cơ tim.
Một đứa trẻ đang vui chơi, khỏe mạnh, bỗng đột ngột khó thở, tím tái, đau ngực rồi được chẩn đoán suy tim cấp đây không phải là chuyện hiếm trong các ca viêm cơ tim tự miễn (immune-mediated myocarditis). Dạng bệnh hiếm gặp này khiến hệ miễn dịch nhầm lẫn, tấn công chính các tế bào cơ tim, dẫn đến tổn thương nặng nề và nguy cơ tử vong nếu không được phát hiện, điều trị kịp thời.
Khi hệ miễn dịch tấn công trái tim
Viêm cơ tim tự miễn xảy ra khi hệ miễn dịch vốn có nhiệm vụ bảo vệ cơ thể lại quay sang tấn công nhầm mô tim. Nguyên nhân có thể liên quan đến di truyền, đáp ứng miễn dịch sau nhiễm virus hoặc trong bối cảnh rối loạn tự miễn khác. Ở một số trường hợp, phản ứng miễn dịch bùng phát dữ dội khiến cơ tim viêm lan tỏa, giảm khả năng co bóp, dẫn đến suy tim cấp hoặc rối loạn nhịp tim nguy hiểm.
Điều đáng nói, nhiều trẻ ban đầu hoàn toàn khỏe mạnh. Chỉ sau vài ngày sốt nhẹ, cảm cúm hoặc nhiễm siêu vi , các dấu hiệu bất thường mới xuất hiện: mệt nhanh, thở gấp, môi tím, đau ngực hoặc ngất. Một số trường hợp nhập viện muộn khi tim đã suy nặng, phải can thiệp hồi sức tích cực hoặc hỗ trợ tim phổi nhân tạo (ECMO).
Trẻ bị viêm cơ tim tự miễn cần được phát hiện sớm để ngăn ngừa biến chứng suy tim cấp.
Dấu hiệu cảnh báo không nên bỏ qua
Viêm cơ tim tự miễn ở trẻ có biểu hiện khá giống các bệnh lý hô hấp thông thường, khiến nhiều phụ huynh dễ chủ quan. Tuy nhiên, các bác sĩ cảnh báo nếu trẻ có các dấu hiệu sau, cần được khám chuyên khoa tim mạch ngay:
Mệt mỏi kéo dài, kém ăn, thở nhanh, hoặc than đau ngực.
Tim đập nhanh , không đều, đôi khi kèm ngất xỉu.
Có biểu hiện phù nhẹ, gan to, hoặc môi, đầu chi tím.
Khi kiểm tra, men tim (troponin) tăng cao, siêu âm tim cho thấy rối loạn co bóp thất trái.
Trong những ca nặng, bệnh tiến triển rất nhanh, có thể gây sốc tim, loạn nhịp thất hoặc ngừng tim đột ngột.
Video đang HOT
Cận lâm sàng: “bản đồ” xác định bệnh
Để chẩn đoán chính xác, bác sĩ sẽ kết hợp nhiều phương pháp:
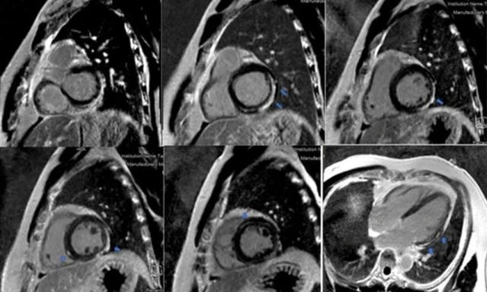
Chụp cộng hưởng từ tim (MRI) giúp phát hiện vùng viêm, phù hoặc hoại tử cơ tim phương pháp không xâm lấn nhưng rất giá trị trong đánh giá mức độ tổn thương.
Sinh thiết cơ tim (endomyocardial biopsy) là bước quan trọng giúp phân biệt giữa viêm cơ tim do virus và viêm cơ tim tự miễn. Mẫu mô được quan sát dưới kính hiển vi để xác định loại tế bào viêm, mức độ hoại tử và đánh giá xem có nhiễm virus đang hoạt động hay không.
Một số trường hợp còn cần xét nghiệm gen hoặc kháng thể tự miễn để xác định cơ chế bệnh.
Chẩn đoán chính xác là yếu tố quyết định hướng điều trị, bởi viêm cơ tim do miễn dịch cần cách tiếp cận khác hoàn toàn so với dạng do nhiễm trùng.
Hình ảnh MRI tim cho thấy vùng cơ tim bị viêm và tổn thương do phản ứng miễn dịch.
Điều trị cân bằng giữa miễn dịch và bảo tồn tim
Điều trị viêm cơ tim tự miễn ở trẻ em là cuộc đua với thời gian. Khi đã xác định nguyên nhân không do virus hoạt động, bác sĩ có thể chỉ định liệu pháp ức chế miễn dịch nhằm ngăn hệ miễn dịch tiếp tục phá hủy cơ tim.
Corticosteroid liều cao thường là lựa chọn đầu tiên, giúp giảm viêm nhanh.
Trong trường hợp nặng hoặc kháng trị, có thể phối hợp azathioprine, mycophenolate mofetil, tacrolimus hoặc thuốc sinh học như rituximab.
Globulin miễn dịch truyền tĩnh mạch (IVIG) cũng được sử dụng ở trẻ em để trung hòa phản ứng miễn dịch quá mức, đồng thời hỗ trợ phục hồi chức năng cơ tim.
Song song đó, trẻ được điều trị triệu chứng bằng thuốc giãn mạch, lợi tiểu, hỗ trợ tim mạch, kết hợp nghỉ ngơi tuyệt đối trong giai đoạn cấp. Với những trường hợp suy tim nặng, ECMO (tim-phổi nhân tạo) hoặc thiết bị hỗ trợ thất (VAD) có thể cứu sống và duy trì chức năng cơ quan trong thời gian hồi phục.
Theo dõi lâu dài để bảo vệ trái tim sau bão miễn dịch
Sau giai đoạn cấp, trẻ cần được theo dõi định kỳ bởi bác sĩ tim mạch nhi ít nhất 6-12 tháng, thậm chí lâu hơn. Siêu âm tim, điện tim và xét nghiệm men tim giúp kiểm tra khả năng phục hồi của cơ tim. Một số trẻ có thể hồi phục hoàn toàn, nhưng cũng có trường hợp tiến triển thành suy tim mạn tính, rối loạn nhịp kéo dài hoặc cần ghép tim.
Dinh dưỡng cân đối, nghỉ ngơi hợp lý và tránh nhiễm trùng là yếu tố hỗ trợ quan trọng. Khi sử dụng thuốc ức chế miễn dịch lâu dài, cần kiểm soát nguy cơ nhiễm khuẩn và tuân thủ tiêm chủng theo hướng dẫn của bác sĩ.
Hy vọng từ các tiến bộ y học
Trước đây, tỷ lệ tử vong của trẻ mắc viêm cơ tim tự miễn rất cao. Tuy nhiên, nhờ công nghệ chẩn đoán hình ảnh, sinh thiết sớm và liệu pháp miễn dịch chuyên biệt, tỷ lệ hồi phục đã tăng rõ rệt. Nhiều trẻ từng suy tim nặng đã có thể trở lại cuộc sống bình thường sau điều trị và phục hồi chức năng tim.
Các trung tâm tim mạch nhi hiện nay cũng đẩy mạnh nghiên cứu sinh học phân tử, tìm hiểu cơ chế tự miễn và phản ứng gen đặc thù, mở ra hướng cá thể hóa điều trị trong tương lai.
Thông điệp cho các bậc cha mẹ
Viêm cơ tim tự miễn là bệnh hiếm nhưng cực kỳ nguy hiểm. Vì vậy, khi trẻ có biểu hiện bất thường về tim mạch như mệt nhanh, thở dốc, đánh trống ngực, tím tái hoặc ngất, phụ huynh cần đưa trẻ đến cơ sở y tế chuyên khoa để được chẩn đoán và xử trí sớm.
Điều quan trọng nhất là không chủ quan với các dấu hiệu nhỏ – bởi đôi khi, chỉ trong vài giờ, trái tim khỏe mạnh có thể trở nên yếu ớt đến mức không còn đủ sức bơm máu nuôi cơ thể. Nhận diện sớm, điều trị kịp thời và theo dõi đúng cách chính là chìa khóa giúp bảo vệ trái tim của trẻ khỏi căn bệnh tự miễn nguy hiểm này.
Những bệnh trẻ rất dễ gặp khi thời tiết chuyển lạnh cha mẹ cần biết
Thạc sĩ, Bác sĩ Nguyễn Văn Tùng, Khoa Nhi, Bệnh viện Trung ương Quân đội 108, đã đưa ra khuyến cáo cho cha mẹ về một số bệnh phổ biến mà trẻ em dễ mắc phải khi chuyển sang thời tiết lạnh.
Dưới đây là những bệnh cha mẹ cần lưu ý:
Cảm lạnh thông thường
Cảm lạnh là bệnh nhiễm siêu vi, biểu hiện qua sổ mũi, nghẹt mũi, đau họng, ho, hoặc đau đầu. Trẻ có thể bị sốt nhẹ trong giai đoạn đầu. Cảm lạnh có thể xảy ra quanh năm nhưng thường xuất hiện nhiều vào mùa đông, do nhiều loại virus khác nhau gây ra. Các triệu chứng thường nặng hơn trong 3-5 ngày đầu và có thể mất khoảng 7-10 ngày để hết hoàn toàn.
Cha mẹ cần giữ ấm cho trẻ, đặc biệt là các vùng tay, chân, ngực, đầu và cổ; cho trẻ uống nước ấm, tránh đồ lạnh và bổ sung thực phẩm giàu protein, vitamin C từ hoa quả và rau xanh.
(Ảnh minh họa).
Nhiễm virus hợp bào hô hấp (RSV) / Viêm phế quản
Viêm phế quản là một nhiễm trùng đường hô hấp phổ biến ở trẻ nhỏ, đặc biệt ở trẻ dưới 12 tháng tuổi. Các triệu chứng bao gồm nghẹt mũi, ho, sốt nhẹ và thở khò khè. Virus hợp bào hô hấp (RSV) là nguyên nhân phổ biến gây viêm phế quản, mặc dù các virus khác cũng có thể gây bệnh. Triệu chứng bệnh thường giống cảm lạnh trong giai đoạn đầu, sau đó có thể tiến triển thành khó thở, khò khè và mất nước.
Hầu hết các trẻ có thể điều trị tại nhà, nhưng nếu trẻ khó thở hoặc mất nước, cha mẹ cần đưa trẻ nhập viện.
Cảm cúm
Cúm thường khởi phát đột ngột với sốt cao, ho, đau họng, đau đầu và đau nhức cơ. Sốt có thể kéo dài đến 5 ngày. Hiện có các thuốc kháng virus giúp rút ngắn thời gian mắc bệnh, nhưng cần được sử dụng sớm và chủ yếu dành cho trẻ có nguy cơ biến chứng nghiêm trọng.
Viêm họng do liên cầu khuẩn
Viêm họng do liên cầu khuẩn phổ biến ở trẻ em trong độ tuổi đi học, biểu hiện bằng đau họng, đau đầu và đau dạ dày, kèm theo sốt cao hoặc nôn mửa. Bệnh thường không đi kèm với triệu chứng như cảm lạnh hoặc ho và có thể điều trị dễ dàng bằng kháng sinh. Trẻ cần ở nhà cho đến khi hết sốt 24 giờ và đã sử dụng kháng sinh.
Viêm thanh quản
Viêm thanh quản thường xuất hiện đột ngột vào ban đêm, kèm theo tiếng thở khò khè. Trẻ bị ho nhẹ có thể chăm sóc tại nhà. Để làm giảm triệu chứng, cha mẹ có thể cho trẻ tiếp xúc với không khí khô mát hoặc không khí nóng ẩm. Trong trường hợp triệu chứng nghiêm trọng, cần đưa trẻ đến bệnh viện để điều trị khí dung và dùng steroid.
Viêm phổi
Không giống các bệnh mùa đông thông thường khác, viêm phổi thường do vi khuẩn gây ra và có thể biểu hiện dưới nhiều dạng khác nhau. Bệnh có thể bắt đầu từ một cơn cảm lạnh nhưng sau đó diễn tiến xấu hơn, hoặc ban đầu có vẻ như đã thuyên giảm nhưng sau đó lại nặng trở lại. Nếu trẻ cảm thấy sốt cao và ho nặng hơn sau vài ngày cảm lạnh, có thể đây là dấu hiệu của viêm phổi và cần đưa trẻ đi khám.
Cha mẹ cần chú ý giữ gìn sức khỏe cho trẻ trong những tháng lạnh và thường xuyên kiểm tra các dấu hiệu bất thường để kịp thời điều trị.
Tiêm thuốc bị phản ứng, bệnh viện chi hơn 300 triệu cứu bệnh nhân
Bệnh viện Đa khoa Long An hỗ trợ toàn bộ chi phí cho bệnh nhân sau khi xuất viện, khoảng 300 triệu đồng. Chích thuốc bị phản ứng, bệnh viện phải chi hơn 300 triệu đồng để cứu người. Ảnh: Hải Đường. Trưa 28/3, ông Trương Công Mộng, Phó Giám đốc Bệnh viện Đa khoa tỉnh Long An cho biết, trước mắt đã...
Bắt nghi phạm tấn công nhiều người ở Bệnh viện Sản Nhi Nghệ An01:27
Vai trò của Lương Bằng Quang trong vụ bán thực phẩm giảm cân giả của Ngân 9802:22
Lời khai ban đầu đáng chú ý của chủ tài khoản Tiktok "Tàng Keng Ông Trùm"01:43
Tổng thống Trump nhảy cùng lính Mỹ trên tàu sân bay ở Nhật Bản10:12
Nữ điều dưỡng xả thân cứu bé thoát khỏi kẻ cuồng tính tại BV Sản Nhi Nghệ An02:35
Triệt phá nhóm dùng súng kích điện tự chế, bột ớt để trộm chó số lượng lớn00:51
Bí mật phi hành gia NASA tiết lộ sau 340 ngày ngoài vũ trụ, khiến TG kinh ngạc02:37
Nổ rung chuyển nhà máy đạn dược của Nga, 9 người chết09:44Tiêu điểm
Tin đang nóng
Tin mới nhất

Lexus LFR Concept: Kế thừa di sản LFA trong kỷ nguyên mới

3 thực phẩm màu trắng ăn mòn lá gan

Tại sao cá hồi được mệnh danh là 'vua' của các loại cá dinh dưỡng?

Uống nước mã đề có tác dụng gì?

Trời chuyển lạnh đột ngột, bệnh nhân nhập viện gia tăng

Phẫu thuật cứu chân đứt lìa cho nữ sinh sau tai nạn ở Hà Nội

Kỳ tích cứu sống bệnh nhân đột quỵ tỉ lệ tử vong hơn 90%

Ăn cũng mệt vì làm món ăn không đúng, cách ăn dễ nhất để cơ thể tự cân bằng, tránh ốm vặt

Lý do bất ngờ khiến bạn dễ bị đau dạ dày

3 món ăn bài thuốc dưỡng phế, ích thận nên dùng trong tiết cuối thu đầu đông

Người đàn ông bất ngờ đột quỵ khi đang uống bia

Nghiên cứu khoa học chứng minh: Ăn thực phẩm nóng giúp tiêu hóa tốt và cân bằng tinh thần
Có thể bạn quan tâm

Carvajal 'theo dõi' Yamal sau El Clasico
Sao thể thao
09:24:06 30/10/2025
iPhone 20 có nâng cấp gì
Đồ 2-tek
09:04:36 30/10/2025
CEO Zoom: AI sẽ rút ngắn tuần làm việc
Thế giới số
08:53:11 30/10/2025
Khoảnh khắc bé trai trôi giữa dòng sông Hàn cuộn xiết được cứu sống
Tin nổi bật
08:47:21 30/10/2025
Cận cảnh Lynk & Co 08 tại Việt Nam, giá từ 1,299 tỷ đồng
Ôtô
08:43:04 30/10/2025
Người đàn ông mở 20 bàn tiệc ăn mừng bạn gái sinh con, nào ngờ nhận kết đắng
Netizen
08:40:56 30/10/2025
Quán quân Rap Việt Seachains: Mong tất cả anh em rapper từng diss nhau vẫn có thể ngồi chung trên một bàn tiệc
Nhạc việt
08:20:28 30/10/2025
Gia Lai buộc thôi việc 5 cán bộ kiểm lâm đang bị bắt tạm giam
Pháp luật
08:15:50 30/10/2025
"Em trai BTS" CORTIS: Tập hợp Gen Z tài năng miễn chê, có "Cha Eun Woo mới" đốn tim các chị mẹ!
Sao châu á
08:10:38 30/10/2025
Khi phim ngắn phản cảm tràn lan mạng xã hội, câu view bất chấp
Hậu trường phim
08:06:49 30/10/2025
Những người này không nên uống trà xanh kẻo ‘mang họa vào thân’
Vật thể 2mm làm nên điều kỳ diệu, giúp người mù đọc sách
3 thời điểm không nên uống cà phê
Rối loạn nhịp tim dấu hiệu nhận biết và cách xử trí cần thiết
Cải thiện mất ngủ ở người mắc tiểu đường
Tưởng đau đầu, không ngờ mắc viêm màng não
Cà phê có thể cải thiện cảm xúc, nếu bạn biết chọn đúng giờ uống
Uống cà phê đen buổi sáng để giảm cân: Thói quen tiềm ẩn nhiều rủi ro sức khỏe
Người bị tim mạch, huyết áp tắm biển thế nào cho an toàn?
Nắng nóng và nguy cơ lão hóa sớm
Người đàn ông ở TPHCM nguy kịch sau khi ăn hàu sống
Bé gái tím tái, co giật vì uống nhầm thuốc chuột
Trẻ em có mắc viêm xoang không?
Từ thói quen ăn đồ sống, người đàn ông tổn thương gan nghiêm trọng
Dấu hiệu nhận biết bệnh tay chân miệng
Tại sao phụ nữ mang thai nên tiêm vaccine cúm?
Cấp cứu bệnh nhân vì quên thiết bị y tế suốt 2 năm trong người
Uống trà xanh kiểu này cực tốt cho sức khỏe nhưng không phải ai cũng biết
3 tiếng sau khi rắn bò ngang người, bé 21 tháng tuổi hôn mê, tím tái
Người đàn ông bất ngờ ngưng tim trong nhà vệ sinh
Nhiều ca sốt xuất huyết tử vong do chủ quan
6 nhóm người nên tránh uống trà xanh
Dấu hiệu cảnh báo nhồi máu cơ tim
Rối loạn hoảng loạn cần làm gì?
Nam thanh niên 19 tuổi tử vong sau khi uống thứ nước 'nhiều người mê'
Dấu hiệu phát hiện sớm bệnh Parkinson
Phát hiện mắc cùng lúc 2 loại ung thư sau 6 tháng khàn tiếng
Chuyên gia chia sẻ mẹo ngủ lại khi tỉnh giấc lúc gần sáng
Căn bệnh nguy hiểm chưa có thuốc đặc trị, nhiều người vẫn chủ quan
Người phụ nữ méo miệng giữa chợ: May mắn thoát chết vì hành động kịp thời
Việc làm không tốn 1 xu mỗi sáng giúp cơ thể nhận về 8 lợi ích tuyệt vời
Khói thuốc lá là 'kẻ thù thầm lặng' của xương và khớp
Quý tử xịn nhất showbiz: Mẹ là siêu mẫu, bố là thiếu gia, vừa chào đời đã được ký hợp đồng bạc tỷ!
Thêm 1 nàng hậu nhà Sen Vàng cưới doanh nhân: Hôn lễ tổ chức tháng 11, địa điểm siêu "chanh sả"
Lấy vợ hơn 5 tuổi, người đàn ông chia sẻ hành trình hôn nhân đầy thử thách
Sao nam phim Việt giờ vàng gây sốt MXH vì duyên dã man, đang định bỏ phim lại có động lực xem tiếp
Sẽ có ô tô điện siêu nhỏ thay thế xe máy Honda
Bão Melissa là cơn bão mạnh nhất ở Caribe trong 90 năm
Nam ca sĩ ngưng hát làm CEO, xây nhà 5 tầng sống cùng vợ đẹp kém 10 tuổi
Xe tải điện Kia lập kỷ lục Guinness: Chạy gần gấp đôi quãng đường công bố
Gia thế hiển hách nhất showbiz và lời trăng trối của diễn viên Hứa Thiệu Hùng
Tòa tuyên án vụ Hoa hậu Bình Phương kiện mẹ diễn viên Đức Tiến
Vợ cố diễn viên Đức Tiến được hưởng di sản thừa kế bằng hiện vật
Biệt danh ca sĩ Vũ Hà dùng để đánh bạc ở Hà Nội
Xe bồn phát nổ
Ánh Tuyết thẫn thờ nhìn nước ngập lênh láng nhà, Tiểu Vy xót xa mưa lũ ở miền Trung
Tiên Nguyễn - con gái chủ tịch IPP Group có học vấn, sự nghiệp và cuộc sống thượng lưu thế nào ở tuổi 28?
Huỳnh Anh nói về vợ hơn 6 tuổi: "Cô ấy đẹp gấp mấy lần trên mạng"
Ái nữ tỷ phú Johnathan Hạnh Nguyễn cưới: Tóc Tiên và dàn sao đổ xô chúc mừng, Hà Tăng - Linh Rin có động thái lạ
8 người cùng một gia đình nghi bị ngạt khí trong đêm lũ lớn