Người đàn ông nguy kịch vì thói quen thường gặp ở nam giới
Trong lúc đang làm việc ngoài đồng, người đàn ông 51 tuổi bất ngờ chóng mặt , tức ngực rồi ngất xỉu .
Bác sĩ xác định bệnh nhân bị thuyên tắc phổi nguy kịch.
Bệnh nhân được đưa đi cấp cứu kịp thời. Ảnh minh họa: Duy Hiệu.
Theo bác sĩ Đỗ Công Tuấn, khoa Cấp cứu, Bệnh viện Nhân dân 115 (TP.HCM), bệnh nhân đang làm việc ngoài đồng thì đột ngột chóng mặt, tức ngực rồi ngất khoảng 2 phút. Khi tỉnh lại, người nhà phát hiện và đưa vào bệnh viện địa phương trong tình trạng tụt huyết áp , được nghi ngờ nhồi máu cơ tim biến chứng sốc tim.
Sau khi được xử trí ban đầu, bệnh nhân được chuyển đến Bệnh viện Nhân dân 115. Tại đây, bác sĩ ghi nhận người bệnh khó thở, huyết áp không đo được, mạch nhanh. Điện tim và siêu âm tim cho thấy dấu hiệu quá tải thất phải cấp tính, đặc trưng của thuyên tắc phổi nặng.
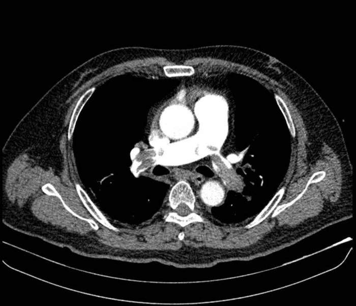
Bệnh nhân nhanh chóng được dùng thuốc vận mạch để ổn định huyết áp, chụp CT mạch máu phổi. Kết quả cho thấy huyết khối lớn bít tắc hai nhánh động mạch phổi. Các bác sĩ khoa Cấp cứu phối hợp Khoa Hồi sức tích cực xác định đây là trường hợp sốc tắc nghẽn do thuyên tắc phổi nguy cơ cao.
Người bệnh được chỉ định sử dụng thuốc tiêu sợi huyết, là phương pháp điều trị giúp làm tan cục máu đông trong mạch phổi. Sau khi chuyển Hồi sức tích cực để tiếp tục theo dõi, bệnh nhân dần hồi phục, huyết áp ổn định, hết khó thở, chức năng tim phải cải thiện. Sau một tuần điều trị, ông được xuất viện và trở lại sinh hoạt bình thường.
Video đang HOT
Hình ảnh chụp CT mạch máu phổi cho thấy huyết khối lớn bít tắc động mạch phổi hai bên. Ảnh: BVCC.
Bác sĩ Đỗ Công Tuấn, khoa Cấp cứu, Bệnh viện Nhân dân 115 cho biết, nguyên nhân phổ biến nhất của thuyên tắc phổi là cục máu đông hình thành từ tĩnh mạch sâu chi dưới rồi di chuyển lên phổi. Siêu âm mạch chi dưới của bệnh nhân phát hiện huyết khối ở tĩnh mạch đùi chung và khoeo trái.
“Người bệnh không có tiền sử bệnh lý đặc biệt, song có thói quen hút thuốc khoảng một gói mỗi ngày”, bác sĩ Tuấn nhấn mạnh.
Theo bác sĩ Tuấn, hút thuốc lá không trực tiếp gây thuyên tắc phổi, nhưng làm tăng nguy cơ hình thành huyết khối tĩnh mạch sâu. Đây là yếu tố dẫn đến nhiều biến chứng nguy hiểm, trong đó có thuyên tắc phổi. Ngoài ra, thuốc lá còn gây ra hàng loạt bệnh tim mạch và hô hấp khác.
Khi xuất viện, bệnh nhân được khuyến cáo ngưng hoàn toàn thuốc lá và tuân thủ điều trị theo hướng dẫn của bác sĩ để phòng tái phát.
Đối tượng cần đặc biệt lưu ý khi dùng thuốc chống đông máu
Để ngăn ngừa sự hình thành và phát triển các cục máu đông, từ đó phòng tránh nguy cơ đau tim, đột quỵ và các hậu quả khác do đông máu gây ra, nhiều người phải sử dụng thuốc chống đông máu hàng ngày. Tuy nhiên khi dùng nhóm thuốc này người bệnh cần thận trọng.
Các nhóm thuốc chống đông máu thường dùng
Hiện nay có 3 nhóm thuốc chống đông máu chính được sử dụng trong điều trị và phòng ngừa các bệnh do máu đông gây ra:
Nhóm heparin: Có tác dụng nhanh hoặc chậm tùy vào trọng lượng phân tử của thuốc. Với khả năng tạo ra tác dụng nhanh chóng, các thuốc chống đông máu nhóm heparin được dùng trong điều trị và dự phòng các bệnh như thuyên tắc phổi, chạy thận nhân tạo, huyết khối tĩnh mạch sâu chi dưới và hội chứng mạch vành cấp. Cần lưu ý, các thuốc chống đông máu nhóm heparin được dùng với đường tiêm dưới da hoặc tiêm tĩnh mạch và không được tiêm bắp.
Wafarin và các thuốc chống đông máu kháng vitamin K: Là nhóm các thuốc chống đông máu ngăn chặn gián tiếp chu trình đông máu bằng cách cạnh tranh với vitamin K, ngăn cản quá trình tổng hợp một số yếu tố đông máu phụ thuộc vitamin K ở gan.
Các thuốc chống đông máu kháng vitamin K được dùng đường uống, hấp thu nhanh qua niêm mạc ruột, tuy nhiên thuốc có tác dụng chậm và tăng dần theo thời gian (sau 2-5 ngày). Thuốc chống đông máu kháng vitamin K đặc biệt hiệu quả trên tĩnh mạch, được sử dụng trong điều trị kháng đông máu kéo dài sau khi điều trị bằng heparin.
Thuốc kháng vitamin K có bản chất acid, liên kết mạnh với albumin, do đó có nguy cơ cạnh tranh liên kết albumin trong huyết tương với các thuốc khác, hoặc tác động lên chuyển hóa ở gan, làm tăng nguy cơ chảy máu. Vì vậy khi sử dụng hết sức lưu ý tương tác bất lợi trong các phác đồ điều trị có nhiều thuốc.
Nhóm các thuốc chống kết tập tiểu cầu: Các thuốc như aspirin, clopidogrel (plavix), dipyridamole (persantine), prasugrel (effient), ticagrelor (brilinta), vorapaxar (zontivity) ngăn cản các tiểu cầu kết tập tạo ra các nút tiểu cầu, dẫn tới hình thành cục máu đông.
Các thuốc chống kết tập tiểu cầu được sử dụng trong sơ cứu cầm máu, phòng ngừa huyết khối ở những bệnh nhân bị nhồi máu cơ tim, tai biến mạch máu não, hội chứng mạch vành cấp, đau thắt ngực...
Sư hình thành cục máu đông gây ra môt loạt các bênh lý nguy hiêm.
Thận trọng khi dùng thuốc
Việc hình thành cục máu đông hay huyết khối trong tim và não rất nguy hiểm, vì có thể gây ra đau tim hoặc đột quỵ và các biến chứng nguy hiểm khác. Việc sử dụng các thuốc chống đông máu sẽ đem lại lợi ích rất lớn. Tuy nhiên cần sử dụng hết sức thận trọng, chọn lựa từng loại thuốc phù hợp với thể trạng bệnh nhân và chỉ sử dụng khi có chỉ định của thầy thuốc trên cơ sở lợi ích, nguy cơ và các thuốc dùng cùng lúc.
Nếu dùng thuốc chống đông máu kháng kali như warfarin, người bệnh nên thực hiện xét nghiệm máu thường xuyên để thầy thuốc có thể điều chỉnh liều lượng nếu có các biểu hiện bất thường về máu.
Thuốc chống đông máu có thể tương tác với thức ăn, thuốc và các chất khác làm tăng nguy cơ mắc các tác dụng phụ của như phản ứng dị ứng, rối loạn tiêu hóa, phát ban, rụng tóc, ngứa da, ớn lạnh, viêm mạch máu của bạn, rối loạn gan hoặc túi mật, chảy máu nhiều khi bị thương... Nếu các triệu chứng kéo dài hoặc nghiêm trọng như liên tục đau bụng trong vài ngày, tiêu chảy, sốt cao... người dùng thuốc phải đến bệnh viện để có hướng giải quyết ngay.
Khi dùng thuốc chống đông máu, nguy cơ chảy máu nhiều hơn nếu người bệnh bị những vết cắt nhỏ hoặc vết bầm tím, thậm chí có thể bị chảy máu bên trong nếu bị tai nạn ngã hoặc đập đầu. Vì vậy, trong khi sử dụng thuốc chống đông máu, nên hết sức cẩn thận khi tham gia các hoạt động va chạm, dễ gây thương tích.
Nếu thấy bất kỳ dấu hiệu chảy máu bất thường nào, như kinh nguyệt nhiều hơn bình thường, có máu trong nước tiểu hoặc phân, chảy máu lợi hoặc chảy máu mũi, nôn mửa hoặc ho ra máu, chóng mặt, đau đầu dữ dội hoặc đau bụng... cần báo ngay với thầy thuốc để xử trí kịp thời.
Đối tượng dễ mắc thuyên tắc phổi
Thuyên tắc phổi là một biến chứng nguy hiểm của thuyên tắc huyết khối tĩnh mạch, bệnh thường dễ nhầm với các bệnh khác, lâm sàng thường bị bỏ qua, vì vậy nó còn có tên "người cải trang vĩ đại". Thuyên tắc phổi xuất hiện khi có một vật gây tắc nghẽn làm cản trở dòng máu chảy qua động mạch phổi....
Tiêu điểm
Tin đang nóng
Tin mới nhất

Người phụ nữ 60 tuổi tai ngứa như kim châm, bác sĩ gắp ra thứ "đáng sợ" bên trong

Không chỉ là cây dại: Hạt muồng còn có những công dụng bất ngờ

Người đàn ông 73 tuổi "nghiện thứ đáng sợ", làm tổn thương phổi, suy hô hấp nặng

Trẻ Hàn Quốc sinh non được cứu sống ngoạn mục tại bệnh viện ở TPHCM

Lá gan và quả tim hiến tặng giúp "hồi sinh" 2 cuộc đời ngày đầu năm mới

Bảo vệ phổi từ gốc: Những món ăn nên bổ sung ngay

Người đàn ông phát hiện mắc 2 ung thư cùng lúc từ rối loạn tiêu hóa kéo dài

Bé 13 tuổi hay than đau, gia đình bàng hoàng khi biết con mắc ung thư

Gia tăng trẻ nhập viện vì hen phế quản

Bệnh nhân tiểu ra máu tươi, nguy kịch: Bác sĩ tiết lộ thói quen tai hại

Người đàn ông 65 tuổi nhập viện vì suy thận cấp thừa nhận một sai lầm nhiều người Việt mắc phải

Biểu hiện thiếu máu không nên bỏ qua
Có thể bạn quan tâm

Dinh Hoàng A Tưởng và đời sống vùng cao Bắc Hà
Du lịch
09:15:46 07/01/2026
Mỹ nêu 3 điều kiện với Tổng thống lâm thời Venezuela?
Thế giới
09:13:15 07/01/2026
MC Bạch Lan Phương nói về điều nuối tiếc trong cuộc hôn nhân với Huỳnh Anh
Sao việt
08:40:22 07/01/2026
Những đột phá khoa học ứng dụng AI nhận hàng tỷ USD nghiên cứu năm 2025
Thế giới số
08:37:27 07/01/2026
Nhận miễn phí một tựa game chất lượng siêu xịn, đẹp miễn chê, người dùng vẫn phàn nàn, phản đối mạnh
Mọt game
08:33:59 07/01/2026
Bộ phim Hàn Quốc gây sốt toàn cầu nhưng bị khán giả gọi là "thảm họa"
Phim châu á
08:33:21 07/01/2026
Phát hiện bộ xương sau căn nhà hoang ở Lâm Đồng
Pháp luật
08:16:56 07/01/2026
Cosplay như "xé truyện bước ra" với hơn 10 triệu view, coser vẫn bị chỉ trích vì chọn nhân vật da màu
Cosplay
08:16:41 07/01/2026
Nam ca sĩ điển trai ế suốt 13 năm vì bị hôi miệng
Sao châu á
08:06:06 07/01/2026
Văn hóa thần tượng nghệ sĩ Việt trưởng thành: Khi tình yêu idol không còn là cuộc chơi cảm xúc
Nhạc việt
08:01:35 07/01/2026
HIV làm tăng nguy cơ xơ gan và ung thư gan như thế nào?
Uống giấm táo: Lợi ích và cách sử dụng an toàn
Huyết khối tĩnh mạch sâu nguy hiểm như thế nào?
Sốc phản vệ sau khi tự ý dùng thuốc
Căn bệnh diễn tiến âm thầm có dấu hiệu trẻ hóa, dân văn phòng có nguy cơ mắc
Bé trai ở TPHCM bị đột quỵ khi mới 2,5 tuổi
Bài tập co duỗi cổ chân ngăn ngừa cục máu đông
8 bài tập tại nhà giúp ngăn ngừa cục máu đông, giảm nguy cơ đau tim và đột quỵ
Suy tim phù phổi vì món cháo ấu tẩu
Nặng chân mỗi khi về chiều là bệnh gì?
Nếu có nhóm máu này, bạn sẽ dễ bị đông máu hơn
Dấu hiệu nhận biết và cách phòng ngừa huyết khối
"Chuột rút" có thể cảnh báo cục máu đông nguy hiểm
Cần Thơ: Cứu sống sản phụ bị thuyên tắc phổi hiếm gặp
Áo: Kết luận liên hệ giữa vaccine AstraZeneca và bệnh máu đông
4 dấu hiệu bất thường xảy ra trong giấc ngủ ngầm cảnh báo cục máu đông đang hình thành
Sốc phản vệ do tự ý mua thuốc điều trị viêm họng về uống, bác sĩ nói gì?
Người đàn ông nguy kịch sau khi tự mua thuốc đau họng về uống
Nặng chân mỗi khi chiều về, dấu hiệu của suy tĩnh mạch
Đi siêu âm thai ở tuần 37, bà mẹ than bị ho nhiều, bác sĩ nghe xong liền đẩy vào ngay phòng sinh khẩn cấp
Tập thể dục thường xuyên mà dính 2 thói quen này thì cũng như... phá sạch
Nam thanh niên nguy kịch tính mạng do bị ong đốt
4 thói quen tưởng nhỏ mà người Việt vẫn làm khiến tuổi thọ giảm mỗi ngày
Suy giảm chất lượng cuộc sống vì bệnh lý suy giãn tĩnh mạch
Thành viên nhóm "hiệp sĩ" vạch trần bộ mặt thật của Nguyễn Thanh Hải
Ông Trump đón năm mới bằng buổi đấu giá từ thiện triệu USD
Ông Trump xác nhận tấn công Venezuela, tuyên bố đã bắt ông Maduro và vợ
Người phụ nữ bị suy thận cấp vì nguyên nhân nhiều người Việt gặp phải, lặp lại mỗi ngày mà không biết
Uống nước ngay khi thức dậy có tác dụng gì?
5 lưu ý khi ăn đu đủ - 'chúa tể của các loài quả'
Bé trai thủng ruột do nuốt 24 viên nam châm
Tăng sức đề kháng để phòng bệnh tai mũi họng trong mùa đông
4 quả dễ gây mất ngủ nên hạn chế ăn buổi tối
Những món càng ăn mỡ máu càng giảm
Những lợi ích của mãng cầu ta chưa từng nghe tới
Phóng hỏa bằng xăng ở Tây Ninh, 2 người nguy kịch
Ở Việt Nam có phép "chống già" thần kỳ: Loạt mỹ nhân ăn chay này đã tìm thấy từ lâu
Con trai đòi từ mặt khi tôi khuyên con dâu ly hôn
Viral khoảnh khắc hotboy Đình Bắc ăn táo cực thư giãn khi U23 Việt Nam thắng dễ U23 Jordan
Lộ ảnh diễn viên Oanh Kiều kè kè thân mật bên Tống Đông Khuê
Bạn trai giám đốc tiếc 60 triệu đi du lịch, cô gái chết lặng khi biết bí mật
Giải mã cử chỉ của Tổng thống Venezuela khi bị đưa đến Mỹ
HLV Kim Sang-sik nói gì sau khi U23 Việt Nam nhấn chìm U23 Jordan bằng "đặc sản" bóng chết?
Ngã ngửa trước nhan sắc thật của "Hồng Tỷ" đang quậy banh showbiz ngày đầu năm
Bên trong "tàu ma" dạt vào vùng biển Dung Quất có gì?
30 năm thổi thủy tinh, gương mặt biến dạng: Nghệ nhân Trung Quốc có đôi má phồng như "ếch", cái giá không ai muốn trả
Chú rể Mông Cổ hot MXH vừa qua lộ ảnh quá khứ: Không thể tin nổi là cùng 1 người!
Vụ lật xe khách chở 22 người: Danh tính và lời khai của tài xế
Đúng ngày mai, thứ Ba 6/1/2026, 3 con giáp sau 'ngồi mát ăn bát vàng', lương thưởng tăng lên gấp bội lần, tiêu xài phủ phê
Chân dung con dâu tương lai của nhà tỷ phú Johnathan Hạnh Nguyễn
Người thân cận xác nhận diễn viên Oanh Kiều đang hẹn hò Tống Đông Khuê?
Bạn nhảy của Phan Hiển nói thẳng về Khánh Thi: Chị ấy "xấu" lắm!
Hai bé gái tử vong trong căn nhà bốc cháy khi bố mẹ đi vắng